
《River Biographies – Huangpu River》 — Writing a Relational Ecology through Embodied Language
Event Venue | West Bund Museum Art Window, Shanghai
Co-presented by | West Bund Museum, Chronus Art Center, Shanghai
Event Dates | 2025.11.11 – 2025.12.07

For over two decades, Lundahl & Seitl’s research-based practice has revolved around the human body as a medium, exploring its entanglement with landscapes, ecosystems, and technologies of perception. River Biographies is a perennial, evolving art project shaped by rivers and people who live alongside them. It listens, adapts and learns. Each iteration responds to the ecological, emotional, and cultural landscapes of a particular river and its surrounding communities. Huangpu, Indus, Ruhr, Bosphorus.The rivers’ own memory carries personal, geological, chemical, and industrial histories. Buried rivers, lost species, disturbed climates. The rivers in the artwork are part of the earth’s body, silenced by what we can no longer bear: grief, shame, loss, longing, sacredness.
With River Biographies – Huangpu River at Westbund, participants are invited to enter dialogue with water—as memory, as witness, as force—and parts of themselves shaped by its flow. This is a relational space where things of the world remain unseen until met within the body.
The program unfolds as a poetic topology of bodies, movement, emotions, stones, tears, water and voices, a process where Shanghai meet riverine communities across the world: the Indus — revered yet polluted; the Ruhr — once straightened, now slowly rewilding; the dammed rivers of northern Sweden, where trapped water generates energy displaced elsewhere. Each current carries both harm and renewal, reminding us that what is buried or silenced may also be restored.
Together, these global cycles of water form a score, a choreography of movement and relation; asking how grief can be transformed into care, and how waters, once controlled or abandoned, might be returned to flow.
River Biographies takes two interwoven forms:
1. Living Archive (installation)
— a continuous environment of mist, smell, sound, stones and vibration, continuously shifting with the tides, echoing within the memory of the rivers of the world. Songs drift in and out, carried on sub-bass vibrations and hyper-directional loudspeakers. Here, sound does not diffuse into the room but travels like a tight beam, landing directly on the listener’s body — as if the voice originates from with and within them. The tides bring a shift in the mists: smell particles — the river’s memory made molecular — evoke geological, chemical, and industrial histories. Songs drift in and out, sculpted into air as fragile tides.
2. Embodiment Sessions (approx. 45 minutes)
Groups of twenty participants surrender their autonomy to the collective expression of rivers. To embody the river is not something one observes – it is something one undergoes. In each session, they are divided into two roles: stones and water. The stones remain still while the water moves among them, simulating the current’s approach, pressure, and convergence. Participants receive wireless headphones and goggles that obscure sight and turn the gaze inward. Smell and touch are the work’s first language – a language that bypasses vision and logic, touches memory, and opens the body to another kind of knowing. Within this sensory environment,participants are guided by voices set into motion through hand-to-hand intra-action.
About the Artists
Lundahl & Seitl constantly challenge the exhibition medium through choreography, mass, and time. They exhibit all over the world, including at the Royal Academy of Art (UK), Martin-Gropius-Bau (DE), Momentum 8 (NO), Centre Pompidou Metz (FR), 3rd Kochi Muziris Biennale (IN) and the commissioned work Echoes of Alternative Histories at Staatstheater Kassel during documenta 15.
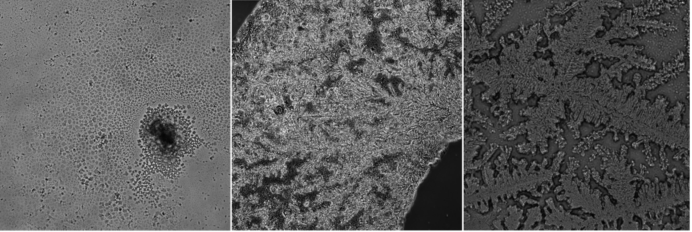
Orphaned Tears, 2025
Microscopic images of crystallised human tears.
More about River Biographies
A Living Research
River Biographies is a perennial project and continues to evolve across multiple geographies. Research has been conducted by the Ruhr River in Germany as part of SWAMPING (2024–2026), a project exploring shifting ecosystems in relationship to artistic processes. A 2023 residency at Chronus Art Center in Shanghai led to to the collaboration with Westbund Museum, who, alongside Liljevalchs Konsthall and Riksteater (SE) is the projects co-producer.
Co-production
River Biographies is co-produced by West Bund Museum with Chronus Art Center (CN) Liljevalchs Konsthall and Riksteatern (SE).
Collaboration
A Choral commission for River Biographies was developed with NYX, a London-based collective of experimental vocalists and artists.
Research partner
Southbank Centre, London (UK)
Project Team
Sound, Light, Haze: Micke Ring (consultation : Mikael Israelsson)
Dramaturgy: Rachel Alexander Microscopic Photography : Joakim Olsson
Acknowledgements
Chris Molenaar, Stockholm University
Lundahl & Seit receive funding from:
IASPIS – Swedish Arts Grants Committee’s international programme, Kulturrådet – Swedish Arts Council
Image 1: A Stone shaped by Hanghuph River exhibited in Stockholm Liljevachls Image
Image 2: A Stone shaped by Tabegsrån, a small creek in Sweden, and a stone shaped by Hhuangpu River exhibited in Stockholm Liljevachls
Image 3: Tears of exhaustion and self-neglect
Workshops
In the process and residency period leading up to this solo event the artists worked with local artist and audiences. Asking participants to bring a stone from the river became an act charged with meaning. For many, simply approaching the water felt like renewal: a way of restoring relationship with a river that has been transformed by the city’s growth.
In Shanghai, China, the Huangpu River — once the central artery of the city — is now often difficult to reach, regulated and redirected by urban development.
In the act of choosing, holding, or even searching for a stone, participants rediscovered intimacy with places they thought were no longer accessible to them. Seated together along an imagined river — from spring to aqueduct to canal — participants placed themselves according to where they had found their stone: source, tributary, or sea. Each story revealed what the stone carried: separation, ecological change, familial memory, or a longing for connection. For some, the stone became a transitional object, holding a sense of spirituality. For others, it was a way of speaking grief. Together, these stories formed a new kind of mapping: one of vulnerability, presence, and collective repair.
Image 2 Microscopic photograph of the tears
Image 3 Microscopic photograph of the tears
